|
动脉导管原本系胎儿时期肺动脉与主动脉间的正常血流通道 由于该时肺不司呼吸功能,来自右心室的肺动脉血经导管进入降主动脉,而左心室的血液则进入升主动脉 故动脉导管为胚胎时期特殊循环方式所必需。出生后,肺膨胀并承担气体交换功能 肺循环和体循环各司其职,不久导管因废用即自选闭合。如持续不闭合 则构成病态,称为动脉导管未闭(症)。应施行手术 中断其血流。动脉导管未闭并存于肺血流减少的紫绀型心脏病时,导管是其赖以存活的重要条件 当作别论。动脉导管未闭是一种较常见的先天性心血管畸形,占先天性心脏病总数的12~15% 如性约两倍于男性。约10%的病例并存其他心血管畸形。
先天性动脉导管未闭是由什么原因引起的?
遗传是主要的内因
在胎儿期任何影响心脏胚胎发育的因素均可能造成心脏畸形 如孕母患风疹 流行性感冒 腮腺炎 柯萨奇病毒感染 糖尿病 高钙血症等 孕母接触放射线;孕母服用抗癌药物或甲糖宁等药
胚胎学和发病机制
胎儿的动脉导管从第六主动脉鳃弓背部发育而来 构成胎儿血循环主动脉 肺动脉间的生理性通道 胎儿期肺小泡全部萎陷 不含有空气 且无呼吸活动 因而肺血管阻力很大 故右心室排出的静脉血 大都不能进入肺内循环进行氧合 由于肺动脉压力高于主动脉 因此进入肺动脉的大部分血液将经动脉导管流入主动脉再经脐动脉而达胎盘 在胚盘内与母体血液进行代谢交换 然后纳入脐静脉回流入胎儿血循环
先天性动脉导管未闭有哪些表现及如何诊断?
动脉导管为位于左肺动脉基部与隆主动脉起始部之间的管道 胎儿时期 肺呈萎陷状态 肺血管的阻力较高 由右心室排至肺动脉的血液绝大多数通过动脉导管进入降主动脉 出生后 肺膨胀并随着呼吸而张缩 肺循环阻力随之下降 右心室排出的血液乃进入两侧肺内进行气体交换 当肺动肺压力与主动脉压力持平时 动脉导管即呈功能上的闭合 进而由于生理上的弃用 肺膨胀后导管所处位置角度的改变和某些尚未阐明的因素 导管逐渐产生组织学上的闭合 形成动脉韧带 据统计 88%的婴儿在出生后两个月内导管即闭合 98%在8个月内已闭合 如果在1周岁时导管仍开放 以后自行闭合的机会较少 即形成导管未闭(症)
未闭动脉导管的直径与长度一般自数毫米至2cm不等 有时粗如其邻近的降主动脉 短至几无长度可侧 为主动脉与肺动脉壁之间直接沟通 所谓穿形动脉导管未闭
动脉导管未闭产生主动脉向肺动脉(左向右)血液分流(图6①) 分流量的多寡取决于导管口径的粗细及主动脉和肺动脉之间的压力阶差 出生后不久 肺动脉的阻力仍较大 压力较高 因此左至右分流量较少 或仅在收缩期有分流 此后肺动脉阻力逐渐变小 压力明显低于主动脉 分流量亦随之增加 由于肺动脉同时接受右心室排出的和经导管分流来的血液 从肺静脉回至左心室的血量增加 加重左心室负荷 导致左心室扩大 肥厚以至功能衰竭 流经二尖瓣孔的血量过多时 会出现二尖瓣相对性狭窄 肺静脉血排流受阻 压力增高 可导致肺间质性水肿 由于流经升主动脉和主动脉弓的血量增多而使其管腔扩大;肺动脉血量增加亦呈同样反映 长期的肺血流量增加 可引起肺小动脉反射性痉挛 后期可发生肺小动脉管壁增厚 硬化 管腔变细 肺循环阻力增加 使原先由于肺血流量增加引起的肺动脉压力升高更形严重 进一步加重右心室负担 出现左 右心室合并肥大 晚期时出现右心衰竭 随着肺循环阻力的增加和肺动脉高压的发展 左至右分流量逐渐减少 最终出现反向(右至左)分流 躯体下半部动脉血氧含量降低 趾端出现紫绀 长期的血流冲撞 可使导管壁变薄 变脆 以至发生动脉瘤或钙化 并易招至感染 发生动脉内膜炎 近端肺动脉可因腔内压力增高呈现动脉瘤样扩大

图6 动脉导管未闭和主肺动脉隔缺损示意图 ①示介于降主动脉与左肺动脉基部之间的动脉导管;②示介于升主动脉与肺总动脉之间的主-一肺动脉隔缺损

图7 超声显象所示动脉导管未闭情况 ↑=动脉导管 总=肺总动脉 左=左肺动脉 右=右肺动脉 升=升主动脉 降=降主动脉
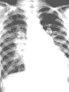
胸部X线检查 示心影增大 早期为左心室增大 晚期时右心室亦增大 分流量较多者左心房亦扩大 升主动脉和主动脉弓阴影增宽 肺动脉段突出 肺动脉分支增粗 肺野充血(图8) 有时透视下可见肺门“舞蹈”征

(1)

(2)
图8 动脉导管未闭病人胸部X线摄片
(1)后前位胸片示两肺充血 心影扩大 尤以左心室增大为甚 主动脉结增宽 肺总动脉扩大膨出 (2)左前斜位胸片示左心室明显增大 左心房 右心室也增大
对经过上述检查尚不能确诊者 可行右心导管检查或逆行性主动脉造影检查 前者可示肺动脉血氧含量高于右心室0.5容积%以上 同时可测定肺动脉压力及阻力情况 如插管通过动脉导管进入降主动脉更可确诊(图9)逆行性主动脉造影 可见对比剂经动脉导管进入肺动脉的情况(图10)

图9 动脉导管未闭 右心导管检查 心导管从右上肢贵要静脉插入 经上腔静脉 右心房 右心这到 肺动脉及动脉导管 最后进入降主动脉

图10 经股动脉插管作主动脉造 图示对比剂自主动脉经粗大的动脉导管(↑)进入肺动脉(PA)
|